Rudolf Harmsen 1933 - 2022
|
Writings| |  |  | 2014: Bad Weather - Good Lives: Just surviving is good news at our age. ....we came to a soft, but sudden halt, buried in a drift, which was not only much higher, but also much wider than I had surmised.....
| | |  |  | 2013: Our Family: All three generations .....I drove home, but just out of town on the highway, amid dense traffic, at 90 k/hr, I had a near-blackout; only intense focusing on driving prevented a major accident.
| | |  |  | 2013: Our Woodlot: Hobby or business? Creating high quality habitat for pollinators and grassland breeding birds, as well as managing a sustainable forest for various forest products and services.
| | |  |  | Grandmother and Grandfather. ... so that Gwen can come with me before breakfast to get the freshly laid eggs.
| | |  |  | Animals – Loved Ones and not so Loved Ones How exactly he entered and exited the house we never found out ...
| | |  |  | Pittsburgh, New York and a New Harmsen. In that instant, our entire concept of the rest of our lives was changed.
| | |  |  | Once an Academic..... The trouble started when a few years ago I volunteered to ...
| | |  |  | The Warmest Summer Working at creating the perfect lawn is a matter of ...
| | |  |  | A Strange Winter Without our normal snowy winter, we left our snow-shoes hanging in the barn, and focused on harvesting fire-wood and ...
| | |  |  | 2011's Year End You might think that a person as old as I am would be sorry to see yet another year come to an end, but being honest, despite some good times had, I am glad this year is behind us.
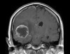
| | |  |  | Defeat of the Evil Glioma After months of worrying and weighing options decisions were made, and on Wednesday I was fully resigned to reality.
| | | | |  | The Elephants of the Kinabatangan
| | |  |  | The Road to Sukau: Oil palm plantations and rainforest. For some 100 km we drove through virtually nothing but oil palm plantations on both sides of the road, for as far as the eye could see.
| | | | |  | TGIF at the 'Astralian'
| | |  |  | The Albatrosses of Ka’ena Point
| | |  |  | Caterpillars and Coyotes: Thoughts on ecological stability Were they aware that I was trespassing into what they must consider their domain during hours of darkness? Or was it just me, suffering from a deeply ingrained Euro-cultural fear of the wolf?
| | |  |  | The Bears of Wapusk: Four days hiking in bear country That bear should have run away. Instead, he threatened us by standing up on his hind legs, and only then did I see how gargantuan he was ...
| | | | |  | Getting there: In the North, expect the unexpected Our chance of finding Knight's Hill Esker under these conditions seemed minimal; our chance of a safe landing pretty well nil.
| | |  |  | Banding and Bear Trouble: Realizing that bears are part of it all As I expected, you can't give a bear a meal of milk powder and dog biscuits and not expect the bugger to return. He did. This time, however, we were more or less ready.
| | |  |  | The First Bear and a Pizza Party: Field Research at its Best Later during the afternoon, it got colder and colder, and a bone-chilling fog rolled in from Hudson Bay.
| | |  |  | Rudolf Harmsen Obituary: 11 March 1933 - 23 March 2022
|
|
|
 Contact
Please send memories of Dolf to
|